Únete a nuestro

familia de sonrisas

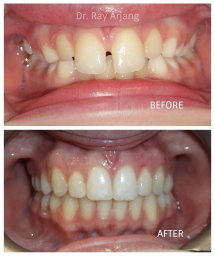
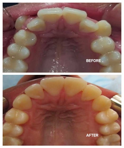
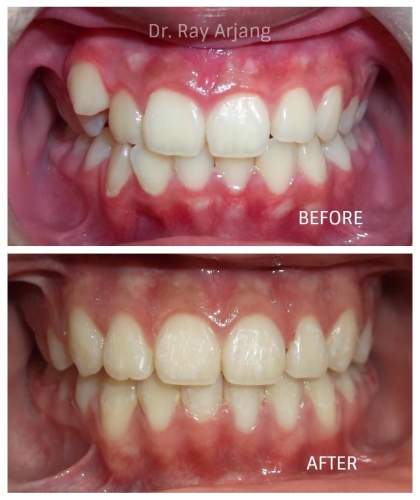
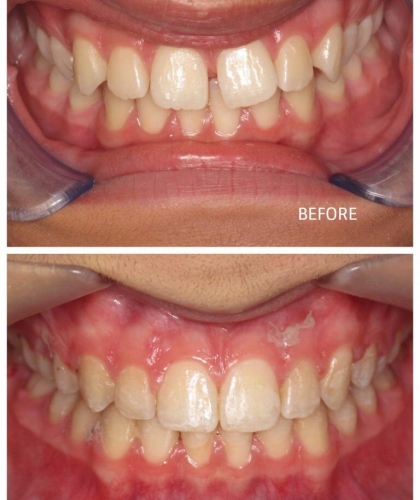
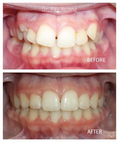
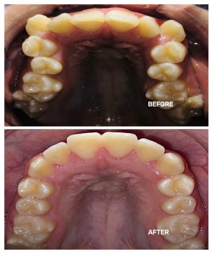
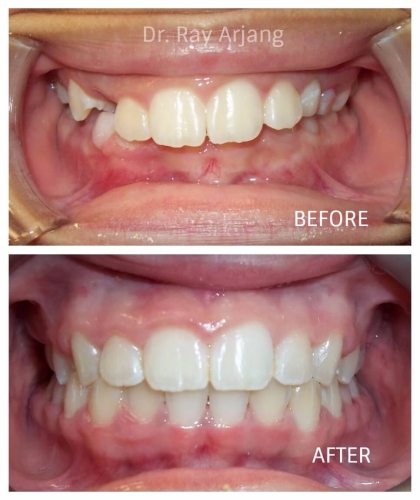
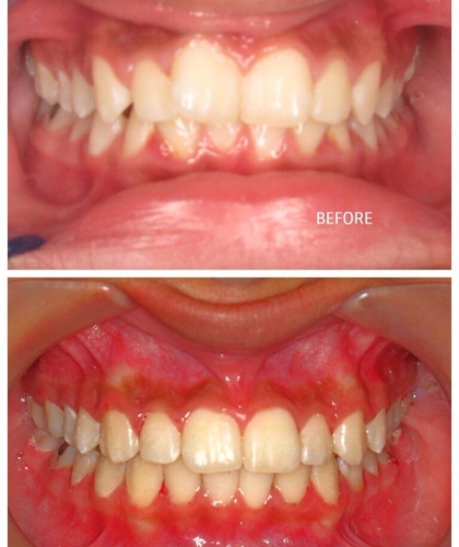
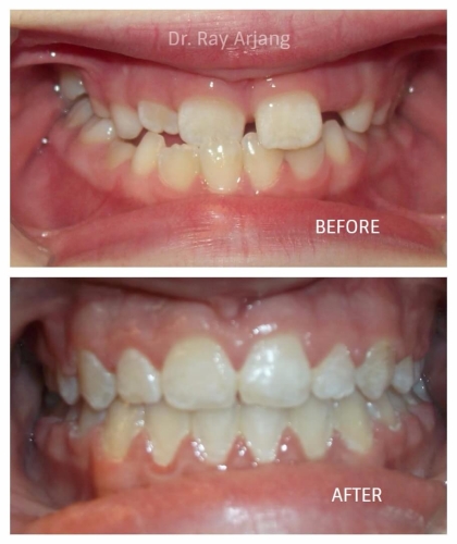
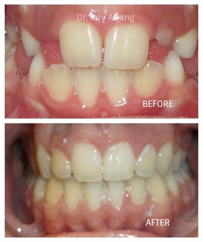
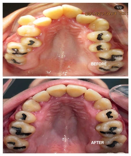
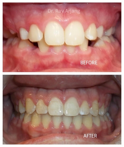
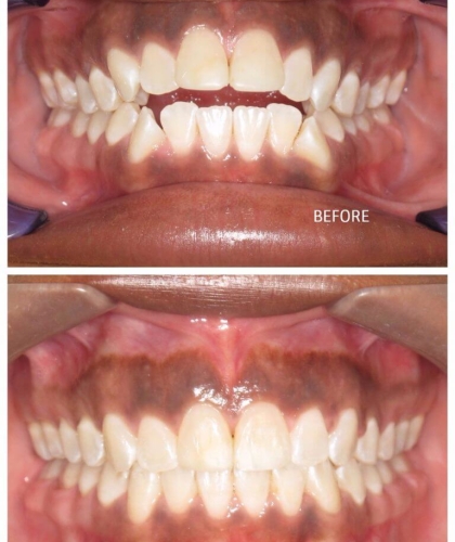
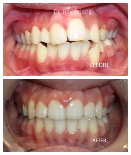
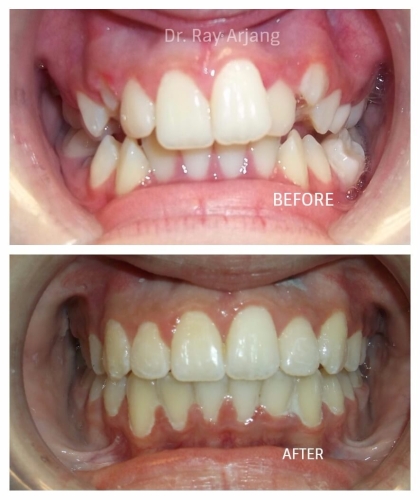
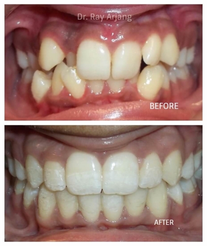
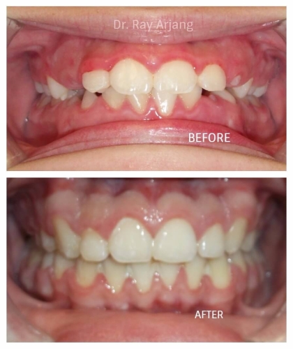
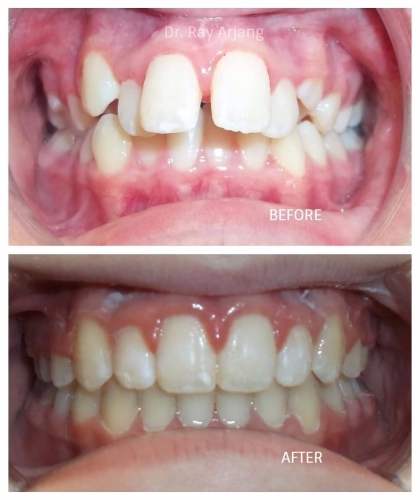
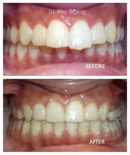
Antes y Despues

"La mayor señal de la experiencia y habilidad de un ortodoncista se encuentra en sus fotos de antes y después"
El Dr. Ray es meticuloso con su oficio, asegurándose de que cada detalle de su sonrisa sea perfecto. Él no se detendrá hasta que estés enamorado de cómo lucen tus dientes. Puede ver algunos de los pacientes anteriores del Dr. Ray aquí. Deje que el Dr. Ray le dé la sonrisa de sus sueños, al igual que todos sus pacientes anteriores.